Accès client
Contactez nous!
+33 4 93 87 33 69
Nous sommes ouverts
Du Lundi au Vendredi de 9h à 18h
Accueil
Présentation
L'Equipe
Prothèses
Notre matériel
Etude de cas
Contact
Etude de cas
Acceuil
Etude de cas
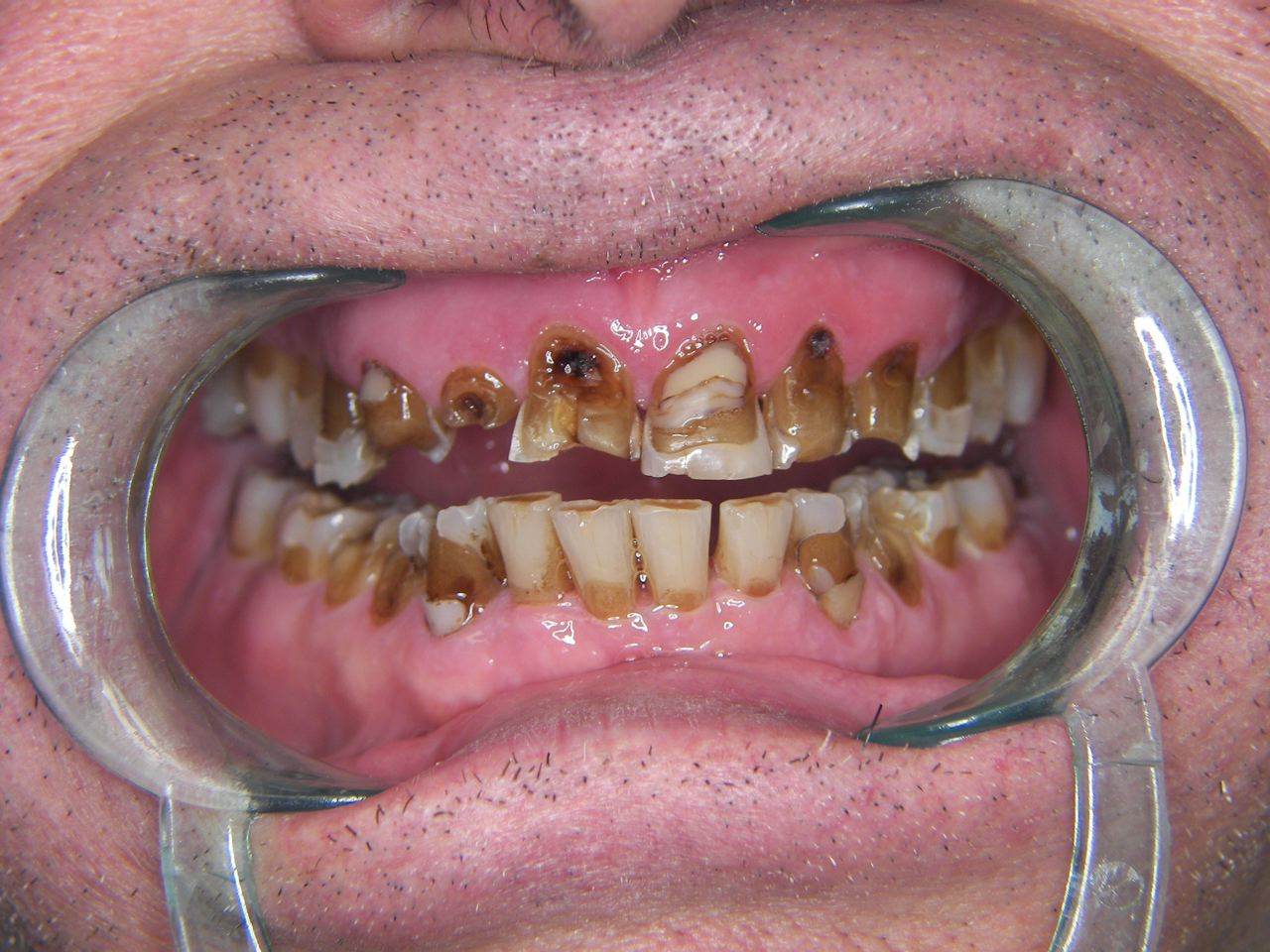
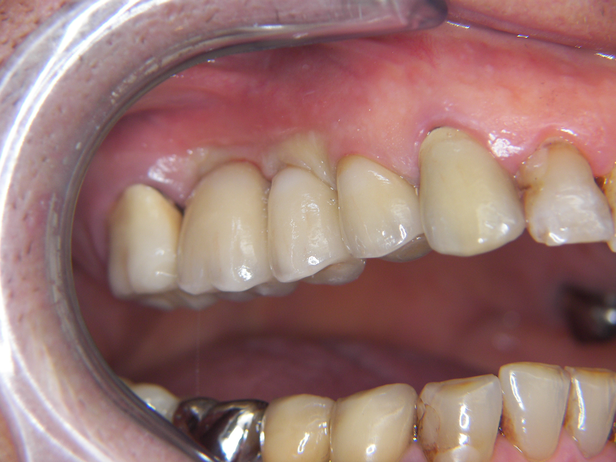
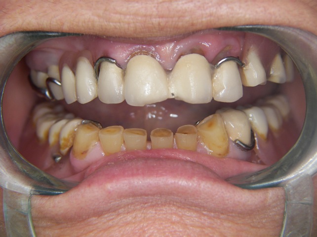
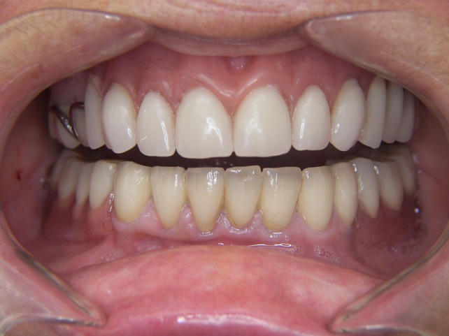
Cas numéro 1
Avant
Après
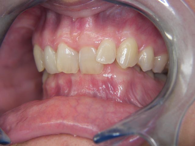
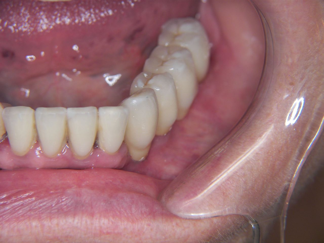
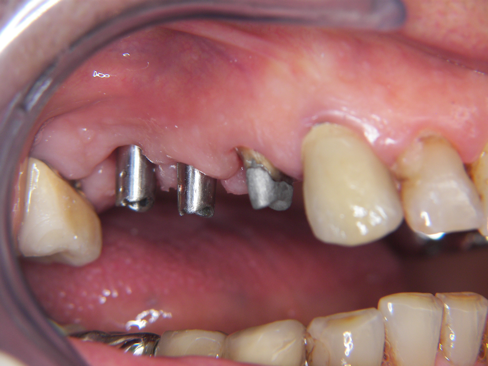
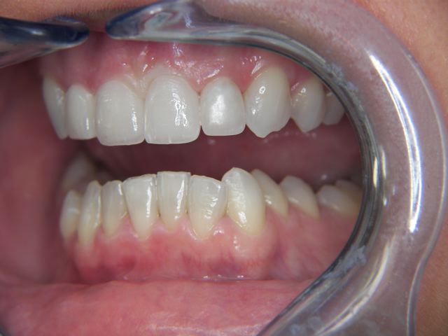
Cas numéro 2
Avant
Après
Cas numéro 3
Avant
Après
Cas numéro 4
Avant
Après
Cas numéro 5
Avant
Après